Los eclipses solares son fenómenos astronómicos fascinantes que despiertan la curiosidad de millones de personas. Sin embargo, mirar un eclipse sin protección adecuada puede causar daños oculares graves e irreversibles. A pesar de las advertencias constantes de los profesionales de la salud, cada eclipse solar deja tras de sí casos documentados de lesiones oculares que pudieron haberse evitado completamente.
En este artículo exploraremos en detalle qué sucede exactamente cuando observas un eclipse sin la protección necesaria, desmontaremos los mitos más peligrosos y te proporcionaremos toda la información que necesitas para disfrutar de este espectáculo natural de forma completamente segura.
¿Qué es la retinopatía solar?
La retinopatía solar es el término médico que describe el daño ocular causado por la exposición directa a la radiación solar intensa. Durante un eclipse, este riesgo se intensifica debido a factores específicos que hacen que el ojo sea especialmente vulnerable a las lesiones.
Cómo se produce el daño ocular durante un eclipse
Durante un eclipse solar, la radiación ultravioleta e infrarroja del Sol se concentra de manera extraordinaria. Cuando esta radiación entra directamente en el ojo sin filtros protectores, genera un calor intenso que literalmente quema los tejidos de la retina, especialmente en la mácula, la zona responsable de la visión central detallada.
El proceso es similar a usar una lupa para concentrar los rayos del Sol sobre un papel: el tejido retinal se sobrecalienta y sufre daños térmicos y fotoquímicos. Las células fotorreceptoras, responsables de convertir la luz en señales nerviosas, pueden resultar destruidas de forma permanente.
Riesgo incluso en segundos y sin dolor inmediato
Uno de los aspectos más peligrosos de la retinopatía solar es que el daño puede ocurrir en cuestión de segundos y sin que la persona experimente dolor inmediato. La retina carece de receptores del dolor, por lo que puedes estar sufriendo lesiones graves sin darte cuenta hasta horas o días después.
Estudios oftalmológicos han documentado casos donde exposiciones de tan solo 1-2 segundos han resultado en daños retinales permanentes. La ausencia de dolor durante la exposición crea una falsa sensación de seguridad que lleva a muchas personas a prolongar la observación directa.
Factores que agravan el daño
Uso de ópticas (cámaras, binoculares, telescopios)
Observar un eclipse a través de dispositivos ópticos sin filtros solares especializados multiplica exponencialmente el riesgo de daño ocular. Los binoculares, telescopios o teleobjetivos de cámaras actúan como lupas, concentrando y amplificando la radiación solar entre 25 y 100 veces.
Usar estos dispositivos sin protección adecuada durante un eclipse puede causar quemaduras retinales instantáneas e irreversibles. Incluso mirar por el visor de una cámara réflex durante un eclipse sin filtros apropiados puede resultar en lesiones oculares graves.
Nubes, pupila dilatada y oscuridad parcial
La oscuridad parcial durante un eclipse crea condiciones especialmente peligrosas. Cuando la luz ambiental disminuye, las pupilas se dilatan naturalmente, permitiendo que entre más radiación solar cuando finalmente se mira directamente al Sol.
Las nubes ligeras pueden crear una falsa sensación de seguridad, ya que reducen el brillo visible pero no filtran significativamente la radiación ultravioleta e infrarroja dañina. Muchas personas han sufrido lesiones oculares precisamente porque las condiciones nubosas les hicieron creer que era seguro mirar directamente.
Síntomas y consecuencias para la visión
Manchas ciegas, visión borrosa y distorsión
Los síntomas de la retinopatía solar pueden manifestarse inmediatamente o desarrollarse gradualmente durante las primeras 24-48 horas. Los síntomas más comunes incluyen:
- Escotomas centrales: manchas ciegas en el centro del campo visual
- Visión borrosa persistente que no mejora con parpadeo o descanso
- Distorsión visual (metamorfopsia) donde las líneas rectas aparecen onduladas
- Dificultad para enfocar objetos cercanos o lejanos
- Alteración en la percepción de colores, especialmente en el centro del campo visual
- Fotofobia: sensibilidad extrema a la luz
Recuperación parcial o daño irreversible
El pronóstico de recuperación varía significativamente según la severidad del daño inicial. En casos leves, puede producirse una recuperación parcial durante los primeros 3-6 meses, aunque frecuentemente quedan secuelas permanentes en forma de pequeñas manchas ciegas.
En casos moderados a severos, el daño suele ser irreversible. Los estudios de seguimiento a largo plazo muestran que aproximadamente el 50% de los pacientes con retinopatía solar mantienen síntomas visuales permanentes, incluyendo escotomas centrales que afectan significativamente su calidad de vida.
Casos documentados y estudios clínicos
Reportes oftalmológicos tras eclipses pasados
La literatura médica documenta consistentemente aumentos dramáticos en los casos de retinopatía solar tras cada eclipse visible. El eclipse solar total de agosto de 2017 en Estados Unidos resultó en más de 100 casos documentados de lesiones oculares, muchos de los cuales involucraron a personas que creían estar tomando las precauciones adecuadas.
Los reportes oftalmológicos posteriores al eclipse de 1999 en Europa documentaron patrones similares, con concentraciones particulares de casos en áreas donde la educación sobre seguridad ocular fue insuficiente. Los datos epidemiológicos muestran que los jóvenes adultos representan el grupo demográfico más afectado.
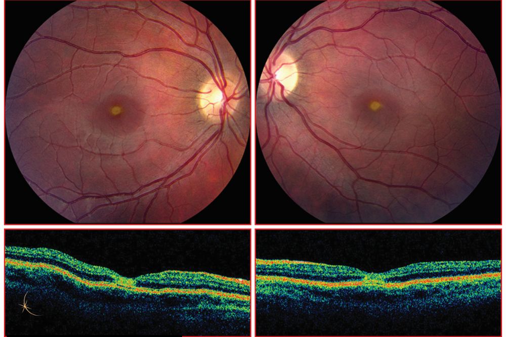
Estudios modernos con OCT y imágenes retinales (JAMA Ophthalmology)
Los avances en tecnología de imagen ocular han permitido documentar con precisión sin precedentes el daño causado por la observación directa de eclipses. Los estudios publicados en JAMA Ophthalmology utilizando tomografía de coherencia óptica (OCT) han revelado patrones específicos de daño retinal.
Las imágenes de OCT muestran disrupciones características en las capas externa e interna de los segmentos de los fotorreceptores, particularmente en la región foveal. Estos estudios han confirmado que incluso exposiciones breves pueden causar cambios estructurales permanentes en la retina, validando científicamente los riesgos que durante décadas se basaron principalmente en observaciones clínicas.
Cómo ver un eclipse de forma segura
Gafas certificadas ISO 12312-2 y su correcta utilización
Las gafas para eclipse certificadas bajo la norma ISO 12312-2 son la única forma segura de observar directamente un eclipse solar. Estas gafas especializadas filtran 99.999% de la radiación solar, reduciendo la intensidad lumínica a niveles completamente seguros para la observación directa.
Para utilizar correctamente las gafas para eclipse:
- Inspecciona las gafas antes del uso: busca arañazos, agujeros o daños en los filtros
- Ponte las gafas antes de mirar hacia el Sol y quítatelas solo después de apartar la mirada
- No uses gafas dañadas o de procedencia dudosa
- Supervisa siempre a los niños durante su uso
- No mires a través de cámaras, binoculares o telescopios mientras llevas puestas las gafas (requieren filtros solares específicos para ópticas)
Métodos indirectos seguros (proyección, filtros, etc.)
Existen múltiples métodos seguros para observar un eclipse sin mirar directamente al Sol:
Proyección con agujero (pinhole projection):
- Crea un pequeño agujero en una cartulina
- Proyecta la imagen del Sol sobre otra superficie
- Observa la proyección, nunca mires a través del agujero hacia el Sol
Proyección con colador o cedazo:
- Utiliza un colador de cocina para crear múltiples proyecciones
- Las imágenes en forma de media luna mostrarán claramente las fases del eclipse
Filtros solares para telescopios y cámaras:
- Utiliza únicamente filtros solares certificados diseñados específicamente para ópticas
- Nunca improvises filtros caseros
Qué no hacer bajo ninguna circunstancia
Métodos extremadamente peligrosos que debes evitar completamente:
- Gafas de sol normales: incluso las más oscuras permiten el paso de radiación dañina
- Filtros caseros: radiografías, CD, DVD, disquetes o películas fotográficas
- Vidrios ahumados o cristales oscuros sin certificación
- Mirar directamente aunque sea «solo un momento»
- Uso de dispositivos ópticos sin filtros solares especializados
- Confiar en condiciones nubosas como protección suficiente
Mitos y errores frecuentes
«Solo mirar un momento no hace daño»
Este es quizás el mito más peligroso relacionado con la observación de eclipses. La creencia de que una exposición breve es segura ha resultado en miles de casos de daño ocular prevenible a lo largo de la historia.
La realidad científica es contundente: el daño retinal puede ocurrir en fracciones de segundo. Los estudios oftalmológicos han documentado lesiones permanentes tras exposiciones de 1-2 segundos. La radiación solar durante un eclipse mantiene toda su potencia destructiva, independientemente de la duración de la exposición.
Gafas de sol, radiografías y filtros caseros
Las gafas de sol convencionales, incluso las más oscuras, no proporcionan protección suficiente contra la radiación solar directa. Mientras que las gafas de sol filtran aproximadamente 90-95% de la luz visible, las gafas para eclipse certificadas filtran 99.999%.
Los filtros caseros representan un peligro extremo:
- Radiografías: pueden contener agujeros microscópicos y no filtran radiación infrarroja
- CD o DVD: la capa reflectante puede tener imperfecciones que permiten el paso de radiación concentrada
- Películas fotográficas expuestas: densidad de filtración inconsistente y materiales no diseñados para protección solar
- Vidrios ahumados: sin estándares de certificación, pueden ser completamente inefectivos
Qué hacer si crees que te has dañado la vista
Consultar a un oftalmólogo
Si experimentas cualquier síntoma visual tras observar un eclipse, busca atención oftalmológica inmediatamente, incluso si los síntomas parecen leves. La evaluación temprana puede determinar la extensión del daño y establecer un plan de seguimiento apropiado.
Los síntomas que requieren evaluación urgente incluyen:
- Manchas ciegas en la visión central
- Visión borrosa persistente
- Distorsión de líneas rectas
- Dificultad para leer o enfocar
- Cambios en la percepción de colores
- Sensibilidad extrema a la luz
Cuándo actuar y qué pruebas pedir
Busca atención médica inmediatamente si:
- Los síntomas aparecen dentro de las primeras 24-48 horas tras la exposición
- Experimentas pérdida visual en uno o ambos ojos
- Los síntomas empeoran progresivamente
Pruebas diagnósticas esenciales:
- Examen de fondo de ojo con dilatación pupilar
- Tomografía de coherencia óptica (OCT) para evaluar daño retinal estructural
- Campimetría para mapear defectos del campo visual
- Angiografía con fluoresceína en casos complejos
Casos reales
Testimonios de daños oculares
María, 34 años, eclipse de 2017: «Pensé que mirar solo unos segundos estaría bien. Al día siguiente tenía una mancha ciega permanente en el centro de mi visión derecha. Han pasado años y sigue ahí. No puedo leer bien ni conducir con confianza.»
Carlos, 28 años, fotógrafo: «Usé mi cámara réflex para fotografiar el eclipse sin filtro solar. La imagen amplificada me causó una quemadura retinal instantánea. Perdí la visión central del ojo izquierdo y tuve que cambiar de profesión.»
Ana, 16 años, eclipse de 2019: «Mis amigos dijeron que las nubes lo hacían seguro. Miré directamente durante casi un minuto. Ahora tengo una mancha oscura permanente que me impide ver detalles. Afecta mis estudios y mi vida diaria.»
Explicación médica de la retinopatía solar
Dr. Rodriguez, oftalmólogo especialista en retina, explica: «Los casos de retinopatía solar post-eclipse siguen un patrón predecible. La radiación solar concentrada crea una quemadura térmica en la mácula, destruyendo irreversiblemente las células fotorreceptoras. En nuestros estudios con OCT, observamos consistentemente una disrupción de la línea de unión de los segmentos internos y externos de los fotorreceptores.»
«El pronóstico depende de la extensión inicial del daño. Los pacientes con lesiones pequeñas pueden experimentar alguna recuperación funcional, pero la mayoría mantiene defectos visuales permanentes que impactan significativamente su calidad de vida. La prevención es absoluta: no existe tratamiento que pueda revertir completamente el daño una vez establecido.»
Para evitar daños al mirar un eclipse sin protección
La importancia de la protección ocular
Los eclipses solares son eventos naturales extraordinarios que pueden disfrutarse de forma completamente segura, pero únicamente siguiendo protocolos de seguridad estrictos y sin excepciones. La diferencia entre una experiencia memorable y una tragedia personal radica en usar la protección ocular adecuada.
La retinopatía solar no es una posibilidad remota o un riesgo exagerado: es una consecuencia directa y documentada científicamente de la exposición ocular desprotegida a la radiación solar durante eclipses. Los casos reales demuestran que las lesiones pueden ser devastadoras y permanentes, afectando no solo la visión sino la calidad de vida general.
Actúa de forma responsable y prepárate
Cada eclipse es una oportunidad para educar y proteger a nuestra comunidad. Si planeas observar un eclipse, asume la responsabilidad de:
- Adquirir únicamente gafas para eclipse certificadas ISO 12312-2 de proveedores reconocidos
- Educar a familiares y amigos sobre los riesgos reales y las medidas de protección
- Supervisar especialmente a niños y adolescentes, quienes representan el grupo de mayor riesgo
- Rechazar categóricamente cualquier método improvisado de protección ocular
- Buscar atención médica inmediata ante cualquier síntoma visual post-exposición
Los eclipses solares continuarán siendo eventos fascinantes que unen a la humanidad en admiración por el cosmos. Asegurémonos de que cada experiencia sea recordada por su belleza, no por sus consecuencias trágicas y prevenibles. Tu visión es irreemplazable: protégela con la seriedad que merece.
¡Prepárate para vivir el eclipse solar más espectacular del siglo!
El 12 de agosto de 2026 no será un día cualquiera: será el día en que la ciencia, la emoción y la naturaleza se alinean sobre el cielo de España.
📍 Elige tu punto de observación, consigue tus gafas certificadas y marca la fecha en tu calendario.
✨ ¡Porque un momento así se recuerda para toda la vida!


